HomeFAQs Blanqueamiento Dental

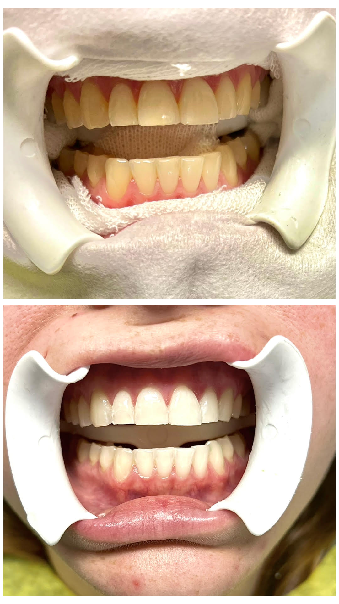
El blanqueamiento dental, es un tratamiento estético realizado por un odontólogo que utiliza geles blanqueadores de alta eficacia activados con luz especial, para aclarar varios tonos el color de los dientes.

Preguntas Frecuentes
Blanqueamiento Dental

¿Qué es el blanqueamiento dental en consultorio?

Es un tratamiento estético realizado por un odontólogo que utiliza geles blanqueadores de alta eficacia activados con luz especial , para aclarar varios tonos el color de los dientes.

¿Es un procedimiento seguro?

Sí. Cuando lo realiza un profesional, el blanqueamiento es seguro y controlado, protegiendo encías y tejidos blandos.

¿El blanqueamiento duele o causa sensibilidad?

Puede generar sensibilidad temporal, pero suele desaparecer en las siguientes horas o días.

¿Cuánto tiempo dura el tratamiento?

Una sesión suele durar entre 45 minutos.

¿Cuántas sesiones se necesitan?

En muchos casos una sola sesión es suficiente. 

¿Cuánto duran los resultados?

Los resultados pueden durar entre 6 meses a 1 año, dependiendo de los hábitos del paciente (consumo de café, té, vino tinto, tabaco, etc.) y de la higiene oral.

¿Qué cuidados debo tener después del blanqueamiento?
  • Evitar alimentos y bebidas muy pigmentados por 72 horas.
  • No fumar.
  • Mantener una buena higiene bucal.
  • Evitar temperaturas extremas si hay sensibilidad.
¿Puedo comer normalmente con carillas?

Sí. Solo se recomienda evitar hábitos como morder uñas, abrir objetos con los dientes o masticar alimentos muy duros.

¿Todos pueden hacerse un blanqueamiento?

No. No se recomienda en embarazadas o periodo de lactancia , menores de edad ni en pacientes con caries, enfermedad periodontal activa o hipersensibilidad severa. Se evalúa cada caso antes del tratamiento.

¿El blanqueamiento aclara coronas, carillas o empastes?

No. El blanqueamiento solo actúa sobre el diente natural. En caso de restauraciones muy visibles, puede ser necesario reemplazarlas después. Puede despigmentar y aclarar carillas de resinas.

¿Existe diferencia entre el blanqueamiento en consultorio y el casero?

Sí. El blanqueamiento en consultorio ofrece resultados más rápidos y potentes porque utiliza concentraciones más altas de agentes blanqueadores y supervisión profesional.

¿El color final es natural?

Sí. El odontólogo controla el proceso para obtener un tono natural que armonice con la sonrisa y rasgos faciales del paciente. El paciente notará un cambio inmediato.

https://topdental.com.ar/wp-content/uploads/2025/10/blanqueamiento-2.jpg
https://topdental.com.ar/wp-content/uploads/2025/11/logo-footer.png

Cucha Cucha 1214, Ciudad Autónoma de Buenos Aires, Argentina. CP(1416)

topdentalestetica@gmail.com

Redes Sociales

Diseño y desarrollo web por TargetLink

Ayuda?